Macular Hole
황반원공이란?
우리 눈의 필름인 망막의 중심부, '황반'에 작은 구멍이 뚫리는 질환입니다.
황반은 시력의 90% 이상을 담당하는 매우 중요한 부위로, 이곳에 구멍이 생기면 급격한 시력 저하와 함께 사물이 끊어져 보이거나 중심부가 보이지 않는 증상이 나타납니다. 주로 60세 이상에서 노화로 인해 유리체가 망막을 잡아당기면서 발생합니다.

주요 증상
초기에는 단순 노안으로 착각하기 쉬워 주의가 필요합니다.
중심 암점
보려고 하는 시야의 한가운데가 검게 가려져 보입니다.
사물 끊김
직선이나 글자가 중간에 끊어져서 보이지 않습니다.
변형시
사물이 찌그러지거나 휘어져서 보입니다.
급격한 시력 저하
안경으로 교정해도 시력이 돌아오지 않고 급격히 떨어집니다.
Diagnosis
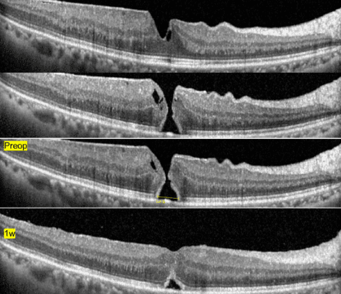
정밀 진단 (OCT)
빛간섭단층촬영(OCT)은 황반원공 진단의 핵심입니다.

CT처럼 눈 속을 들여다봅니다.
망막의 단면을 마이크로미터 단위로 촬영하여 원공의 크기, 깊이, 견인 상태, 망막 층의 손상 정도를 정확하게 파악합니다. 수술 여부와 예후를 결정하는 가장 중요한 검사입니다.
- 원공의 크기 측정
- 유리체 견인 유무 확인
- 망막 부종 동반 여부 확인
수술적 치료
황반원공은 자연 치유가 어렵습니다. 수술을 통해 구멍을 메우는 것이 유일한 치료법입니다.
회복의 핵심: 엎드린 자세
눈 속에 주입한 가스나 오일이 황반원공 부위를 눌러줘야 구멍이 막힙니다. 수술 후 약 1주일간 식사/화장실 외에는 엎드려 계셔야 합니다.
1. 유리체 절제
망막을 잡아당기는 유리체를 깨끗이 제거하여 견인력을 없앱니다.
2. 내경계막 제거
망막 가장 안쪽의 얇은 막을 벗겨내어 망막의 유연성을 높입니다.
Gas
3. 가스 주입
팽창 가스를 눈 속에 채워 공기의 부력으로 황반 구멍을 눌러줍니다.
Heal
4. 공폐쇄 유도
엎드린 자세를 유지하는 동안 가스가 구멍을 메우며 조직이 재생됩니다.
황반원공 FAQ
궁금한 점을 미리 확인하세요


